서울인플란트치과의원 마포 치과 임플란트 뼈이식 수술 회복 기간
Director’s Column · Seoul Implant Dental
마포 임플란트 뼈이식 수술,
회복 기간은 얼마나 걸릴까요?
정확한 진단과 안전한 수술, 원칙을 지키는 치과를 만들겠습니다.
Introduction
뼈이식이 필요하다는 말을 처음 들었을 때
진료실에서 “뼈가 부족해서 이식이 필요합니다”라는 말을 처음 들으시면, 많은 분들이 당황하십니다. ‘뼈를 어디서 가져온다는 건지’, ‘수술이 더 복잡해지는 건지’, ‘기간이 훨씬 더 오래 걸리는 건지’ — 설명을 들어도 막막한 것이 당연합니다. 저도 그 마음을 잘 압니다.
저는 서울대학교 치의학대학원을 졸업하고 보건복지부 인증 통합치의학과 전문의로서, 지금까지 10,000건 이상의 임플란트를 직접 집도해 왔습니다. 그 경험들 중 상당수가 바로 뼈이식이 동반된 고난이도 케이스였습니다. 마포 망원 일대에서 제대로 된 수술 전문 치과를 찾기 어렵다는 말을 많이 들어왔고, 그것이 서울인플란트치과를 이곳에 개원한 이유이기도 합니다.
“과잉진료 없이 정직하게, 원칙대로 수술합니다.
그것이 10,000건 이상의 경험에서 제가 배운 가장 중요한 한 가지입니다.”
이번 칼럼에서는 뼈이식이 왜 필요한지, 어떤 종류가 있는지, 회복 기간은 실제로 얼마나 걸리는지, 그리고 수술 후 어떻게 관리해야 하는지를 솔직하게 정리해 드리겠습니다.
임플란트에 뼈이식이
필요한 이유
01. Why Bone Grafting
치아를 잃고 나면 그 자리의 뼈, 즉 치조골은 서서히 흡수되기 시작합니다. 자연치아의 씹는 자극이 사라지면서 뼈가 더 이상 유지될 이유를 잃기 때문입니다. 발치 후 6개월이면 수평적으로 25% 이상, 1년이면 최대 40%까지 골량이 줄어들 수 있다는 임상 데이터가 있습니다. 임플란트는 이 치조골에 고정되어야 하기 때문에, 뼈의 양과 밀도가 충분하지 않으면 식립 자체가 불가능하거나 장기적인 성공률이 현저히 낮아집니다.
그렇다고 해서 뼈이식이 항상 필요한 것은 아닙니다. 저는 모든 환자분께 HDX CT를 촬영하여 남아 있는 골의 폭·높이·밀도를 3차원으로 정밀 분석합니다. 충분한 골량이 확인되면 뼈이식 없이 바로 식립하는 것이 원칙입니다. 불필요한 술식을 추가하는 것은 저의 진료 방침에 맞지 않습니다.
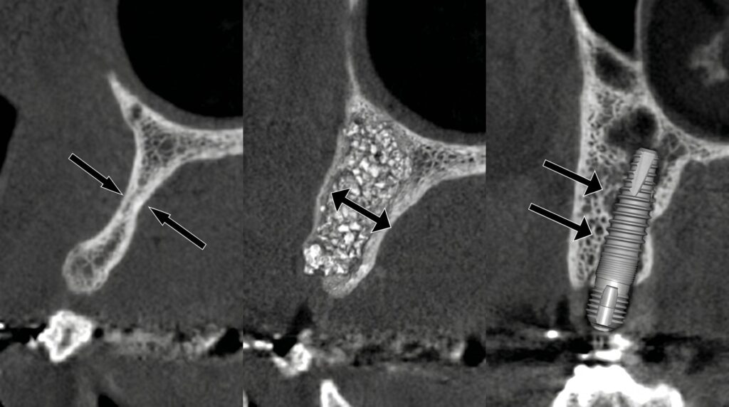
뼈이식의 종류와
상악동 거상술이란
02. Types of Bone Graft
뼈이식에 사용하는 재료는 크게 자가골(환자 본인의 뼈), 동종골(조직은행 뼈), 이종골(주로 소 유래), 합성골(인공합성 재료) 네 가지로 나뉩니다. 각각의 흡수율과 골유도 능력이 다르기 때문에, 결손 부위의 크기와 위치에 따라 단독 또는 혼합하여 사용합니다. 서울인플란트치과에서는 자가혈(혈소판 풍부 피브린, PRF)을 함께 활용하여 골재생을 촉진하고 회복 기간을 단축하는 방법을 적극적으로 적용하고 있습니다.
상악동 거상술은 위턱 어금니 부위에 특화된 술식입니다. 위턱 어금니 바로 위에는 코 안쪽의 공기 공간인 ‘상악동’이 위치하고 있어, 발치 후 시간이 지나면 상악동이 아래로 내려오면서 임플란트를 심을 공간이 부족해집니다. 이때 상악동 바닥을 안전하게 들어올린 뒤 그 공간에 뼈이식재를 충전하는 것이 상악동 거상술입니다. 접근 방식에 따라 외측 접근법(창문형)과 내측 접근법(오스테오톰)으로 나뉘며, 잔존 골 높이에 따라 술식을 선택합니다. 고난이도 케이스일수록 집도 경험이 중요한 수술입니다.
회복 기간, 정확히 얼마나 걸리나요?
03. Recovery Timeline
가장 많이 받는 질문 중 하나입니다. 결론부터 말씀드리면, 뼈이식을 동반한 임플란트의 전체 치료 기간은 최소 4개월에서 최대 9개월까지 달라질 수 있습니다. 소규모 뼈이식과 임플란트를 동시에 진행할 수 있는 경우라면 4~6개월이면 보철까지 완성되지만, 뼈이식 후 골이 충분히 재생되길 기다렸다가 임플란트를 심어야 하는 대범위 결손의 경우 6~9개월이 소요됩니다. 상악동 거상술은 외측 접근 시 최소 6개월의 골유합 기간이 필요합니다.
회복 속도에는 개인차가 큽니다. 당뇨가 조절되지 않는 경우, 골다공증 치료제를 복용 중인 경우, 흡연자의 경우에는 골유합이 지연되거나 실패 위험이 높아집니다. 저는 수술 전 전신 건강 상태를 충분히 파악한 뒤 현실적인 치료 계획을 안내드리며, 수술 후에도 정기적인 경과 관찰을 통해 골유합 진행 상태를 직접 확인합니다.
수술 후 관리와 멸균 시스템의 중요성
04. Aftercare & Safety
수술 직후 48시간, 회복의 흐름이 결정되는 시간입니다. 이 시기에는 아이스팩을 20분 간격으로 냉찜질하여 부기와 통증을 줄이는 것이 도움이 됩니다. 흡연은 혈류를 감소시켜 골유합을 직접적으로 방해하므로, 가능하다면 수술 전후 최소 2주는 금연하시길 강력히 권고합니다. 음주와 격한 유산소 운동도 출혈과 감염 위험을 높이므로 자제가 필요합니다. 식사는 부드러운 유동식부터 시작하여 서서히 일반식으로 전환하시면 됩니다.
수술 후 감염은 뼈이식 실패의 가장 큰 원인 중 하나입니다. 서울인플란트치과는 1인 1기구 원칙을 철저히 지키며, 오토클레이브와 플라즈마 멸균기를 통한 이중 멸균 시스템을 운영하고 있습니다. 모든 수술 기구는 개별 포장된 상태로 환자 앞에서 개봉하며, 전원 치과위생사로 구성된 스탭이 위생 관리를 담당합니다. 안전한 환경에서 원칙대로 수술받는 것, 그것이 가장 확실한 합병증 예방입니다.
REFERENCES & CLINICAL EVIDENCE
- 1. Araújo MG, Lindhe J. Dimensional ridge alterations following tooth extraction. An experimental study in the dog. J Clin Periodontol. 2005;32(2):212-218.
- 2. Del Fabbro M, Testori T, Francetti L, Weinstein R. Systematic review of survival rates for implants placed in the grafted maxillary sinus. Int J Periodontics Restorative Dent. 2004;24(6):565-577.
- 3. Esposito M, Grusovin MG, Felice P, et al. Interventions for replacing missing teeth: bone augmentation techniques for dental implant treatment. Cochrane Database Syst Rev. 2009;(4):CD003607.
- 4. 대한구강악안면임플란트학회. 임플란트 진료 지침 가이드라인. 2022.